Usah Terlalu Kerap Memberus Gigi Lebih Dari 3 Kali Sehari

Ramai yang menyangka, kekerapan memberus gigi dalam sehari akan memberi perlindungan yang baik pada gigi. Namun tanggapan itu tidak tepat dan akan menyebabkan anda kerap sakit gigi walaupun mulut bersih. 


Ikuti penjelasan Doktor Wan Husni Najihah

Tadi ada seorang pesakit perempuan, 56 tahun, datang sebab sakit gigi. Katanya sangat sakit bila gigit makanan keras, sakit bila berus, sakit bila minum. Dia juga pernah terasa sakit sehingga terpaksa mengambil panadol. Pesakit ini jenis yang sangat jarang mengambil ubat tahan sakit. 

"Kalau skor 1-10 (paling sakit), puan skor ke berapa?" soal saya. 

"Lapan," jawabnya. 

"Selalu ke sakit?" untuk kepastian.

"Selalu," katanya.

Bila saya periksa, apa yang saya nampak ialah gigi dan mulutnya sangat bersih. Tetapi secara general, ada lengkuk yang dalam di permukaan gigi terutamanya gigi taring dan gigi-gigi seterusnya. Ada pula gigi yang sebahagian akarnya sudah terdedah. Semua gigi ini tiada hitam-hitam caries. 

Apa yang berlaku sebenarnya? Mari saya ceritakan. 

Kesan lengkuk di permukaan gigi itu, namanya lelasan/hakisan (abrasion). Sebab apa? Sebab terlalu rajin memberus gigi lebih tiga kali sehari. Selain itu, menggunakan berus yang kasar. Kita wajib menggunakan berus gigi yang soft sahaja. 

"Bersih ke Doktor kalau guna berus gigi soft? Macam tak berkesan saja?" 

Bersih. Percayalah, guna berus gigi soft, dengan cara memberus yang betul. Rujuk video di laman Youtube, Modified Stillman's Method of Brushing. Untuk kanak-kanak, Circular Method. 

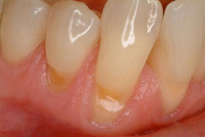
Nampakkan lengkuk tu. Yang oren2 mcm berkarat sikit tu bahagian akar yang sepatutnya terlindung dengan gusi

Lama-lama slim macam ni. Ini dah tak lama dah ni...

Dari kiri kekanan, nampak progres. Dari peringkat awal semapi ke peringkat kronik. Jadi ingat, pergi belajar di YouTube: Modified Stillman's Method of Brushing. Kalau nak saya ajar, mari datang ke Klinik Melaka-Manipal Medical College
Lelaki dan orang tua amnya, suka berus yang berbulu kasar. Tuan-tuan dan puan-puan, tukar ya. Sekarang anda mungkin tidak nampak kesannya tetapi lama kelamaan kelak, lapisan gigi semakin haus dan masalah besar bila hypersensitivity. Nak makan sakit, minum pun sakit, terkena sejuk pun sakit. Apa pun tak boleh. - Doktor Wan Husni Najihah | The Reporter
Share on Google Plus
    Blogger Comment
    Facebook Comment